La infertilidad afecta a un 15% de las parejas en edad fértil, y más de un 50% de éstas se deben a un factor masculino, las técnicas de reproducción son muy útiles para facilitar la fecundación de un óvulo por un conjunto de espermatozoides que tendrían graves complicaciones para lograrlo de modo natural y día a día parejas con problemas de gestación, logran tener un niño sano en casa gracias a ellas.
El estudio de la infertilidad masculina es clave para conocer las causas que dificultan la gestación provenientes de un factor masculino. El andrólogo es el especialista en el estudio de la infertilidad masculina, y aboga por llegar a la causa de la infertilidad, fallo testicular, o de la menor calidad de los espermatozoides, no limitándose a salvar mediante técnicas de reproducción asistida la dificultad para concebir.
En muchas ocasiones, el ginecólogo es el primer contacto que una pareja tiene con la clínica de fertilidad, y es el que tiene que tomar decisiones tal y como la de repetir un seminograma, o dar una explicación al paciente de los resultados del mismo, así como decidir el tratamiento a seguir basándose en dichos datos.
La clínica Tambre ha realizado un Manual del Estudio Seminal para ginecólogos, con el fin de resolver de modo práctico las cuestiones más frecuentes a las que los especialistas en ginecología, puedan enfrentarse al evaluar un estudio seminal en ausencia de un especialista en andrología. Este manual es una ayuda en la interpretación de los resultados y en la selección más adecuada de la técnica de reproducción asistida según cada caso.
¿Qué información da un seminograma?
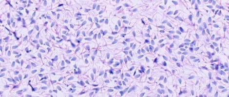
El seminograma es el análisis básico del semen, que contiene los espermatozoides acompañados de fluido seminal, que se va formando a lo largo del recorrido de salida de los espermatozoides desde los testículos hasta la uretra.
El estudio de esterilidad masculina no se limita al seminograma, pero sí que el estudio seminal da idea de cómo están funcionando los engranajes implicados en la fertilidad masculina. Algunas de las alteraciones del seminograma se reflejan en una baja concentración de espermatozoides, lo que se llama oligozoospermia, en una movilidad menor de la espermada, llamada astenozoospermia, o en una morfología alterada de los espermatozoides, llamada teratozoospermia.
Los valores de referencia del seminograma son dictaminados y actualizados por la Organización Mudial de la salud (OMS ó WHO en inglés), y la última actualización fue el año 2010, en la revisión anterior, los umbrales de normalidad eran mucho más exigentes, pero en 2010 se establece como mínimo para lograr un embarazo natura una concentración de 15 millones y una morfología mayor al 4% de todos los espermatozoides.
¿Cuándo realizar un seminograma?
Los espermatozoides se renuevan totamente cada 2 meses, que es su tiempo de formación, y un seminograma puede variar mucho sus valores con respecto a otro. Se ha de hacer al menos dos seminogramas para establecer un diagnóstico de características seminales, así pues es fundamental realizar un seminograma cuando se hacen los estudios de fertilidad de la pareja previamente al tratamiento de reproducción, aunque con anterioridad se haya hecho uno años atrás.
En ocasiones, un trabajo que eleva la temperatura de los testículos, o un periodo con fiebre puede alterar el seminograma y reflejar una mala calidad que no es la usual en el varón, por lo que es importante que se detalle si se ha tenido alguna infección en los últimas semanas o meses para poder interpretar correctamente el resultado del seminograma, y definir la estrategia de tratamiento de reproducción asistida más adecuado, con el fin de aumentar las posibilidades de embarazo.
El Manual del Estudio Seminal está disponible en el apartado de publicaciones de la clínica Tambre, a disposición de todo aquél al que le pueda interesar.
Comunidad y Apoyo
En Reproducción Asistida ORG trabajamos para que la información mensual y rigurosa sea accesible para todos. Si este artículo te ha ayudado, considera apoyarnos para que podamos seguir acompañando a más personas en su camino hacia la maternidad y paternidad.


